TC Cone Beam
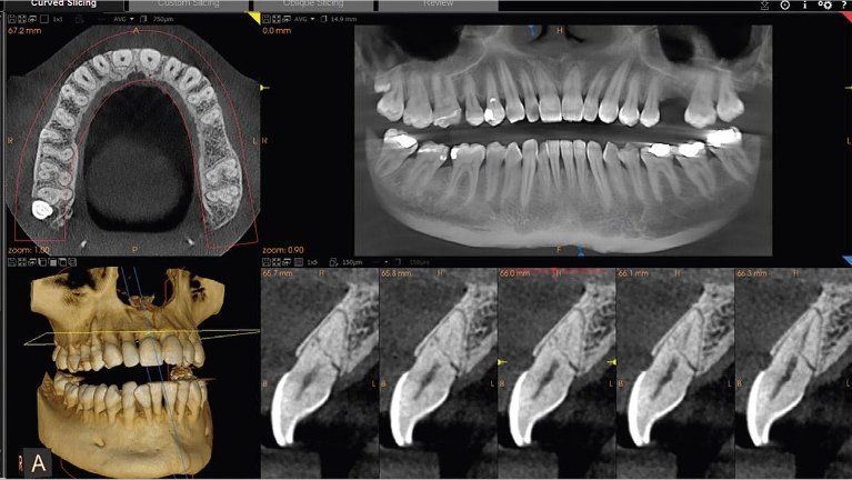
La TAC Cone Beam in dotazione al Centro Diagnostico Avanzata rappresenta il più recente sistema di TAC dentale (TAC aperta), uno strumento che ha rivoluzionato il mondo della radiologia dentale e dell’ortodonzia. Questa nuova tecnologia permette infatti di ottimizzare il livello di esposizione ai raggi X con una notevolissima riduzione della dose (che va dalle 25 alle 90 volte) rispetto a una tradizionale TAC delle arcate dentarie (Dentalscan). Nei bambini, inoltre, la dose di esposizione può essere ulteriormente ridotta utilizzando opportuni programmi pediatrici di studio. Algoritmi di ricostruzione 3D avanzati e uniformità delle misurazioni in scala 1:1 sono in grado di fornire una panoramica dentale completa e di favorire una valutazione dettagliata dell’anatomia delle ossa mascellari e del canale mandibolare, fondamentali nel campo dell'implantologia e nella programmazione di interventi estrattivi.
Anatomia
delle strutture ossee
Oltre agli strumenti citati per effettuare la panoramica dentale completa, il Centro Diagnostico Avanzata di Cortona, provincia di Arezzo, dispone di un tomografo FONA. Tale strumento è in grado di fornire una valutazione dettagliata dell’anatomia, delle strutture ossee del massiccio facciale
Si ricorda ai pazienti che, prima dell'esecuzione di qualsiasi esame radiografico, è necessario compilare il consenso informato per l'esposizione a radiazioni ionizzanti.

  
 





